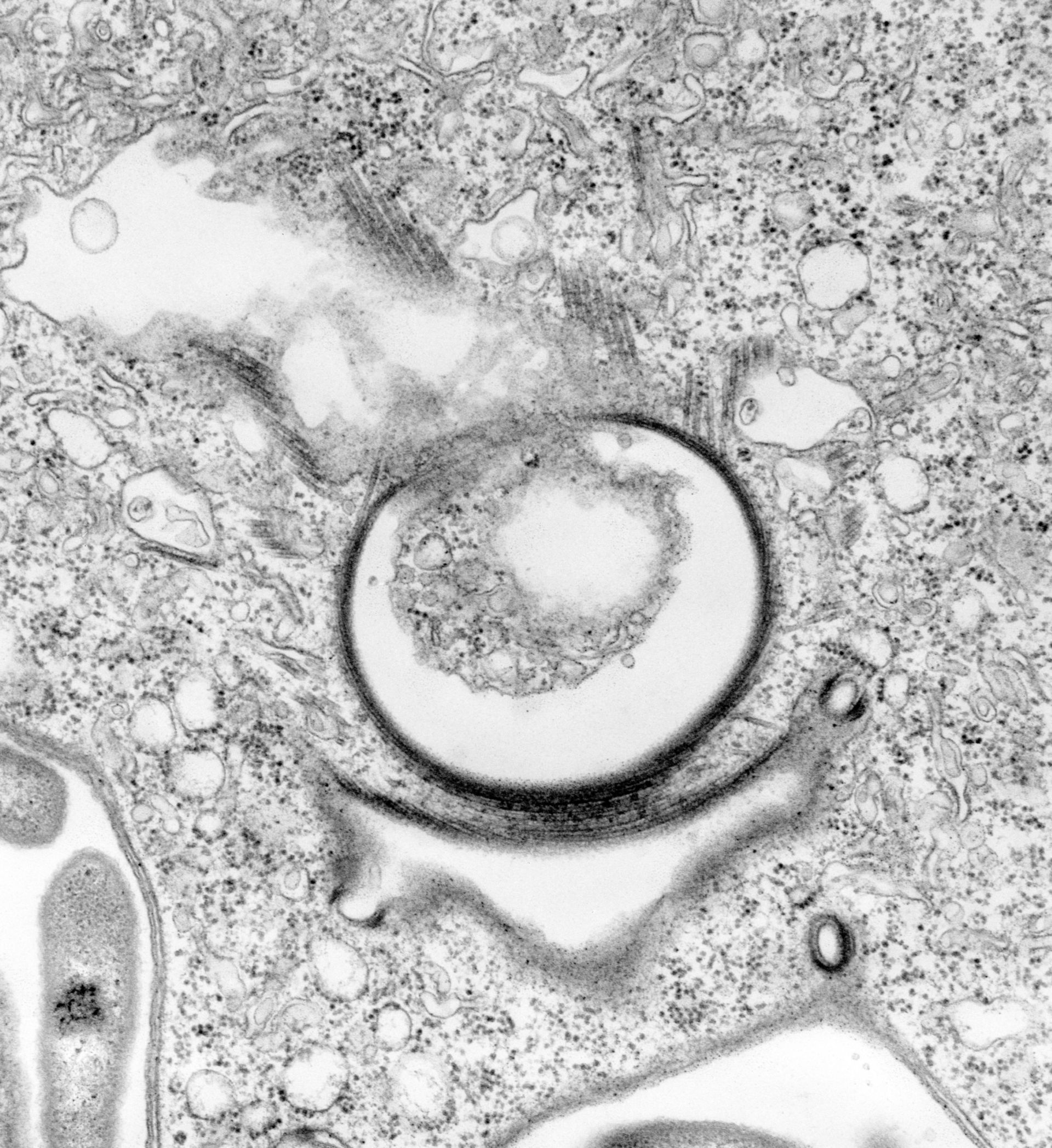
Contractile vacuole pore in face view illustrating the microtubular ribbons that extend from the pore to the CV membrane, the coil of microtubules that surrounds the pore and smaller pellicular pores that appear in the pellicle-bound chamber into which the CV empties. TEM taken on 2/15/72 by R. Allen with Hitachi HU11A operating at 75kV. Neg. 19,500X. The raw negative was scanned with an Epson Perfection V750 Pro and this high resolution image is best used for quantitative analysis. Additional information available at (http://www5.pbrc.hawaii.edu/allen/).
Biological Process: Contractile vacuole organization
Standard glutaraldehyde fixation followed by osmium tetroxide, dehydrated in alcohol and embedded in an epoxy resin. Microtome sections prepared at approximately 75nm thickness. Additional information available at (http://www5.pbrc.hawaii.edu/allen/).
Author: Richard Allen (University of Hawaii)
Source: The Cell: An Image Library