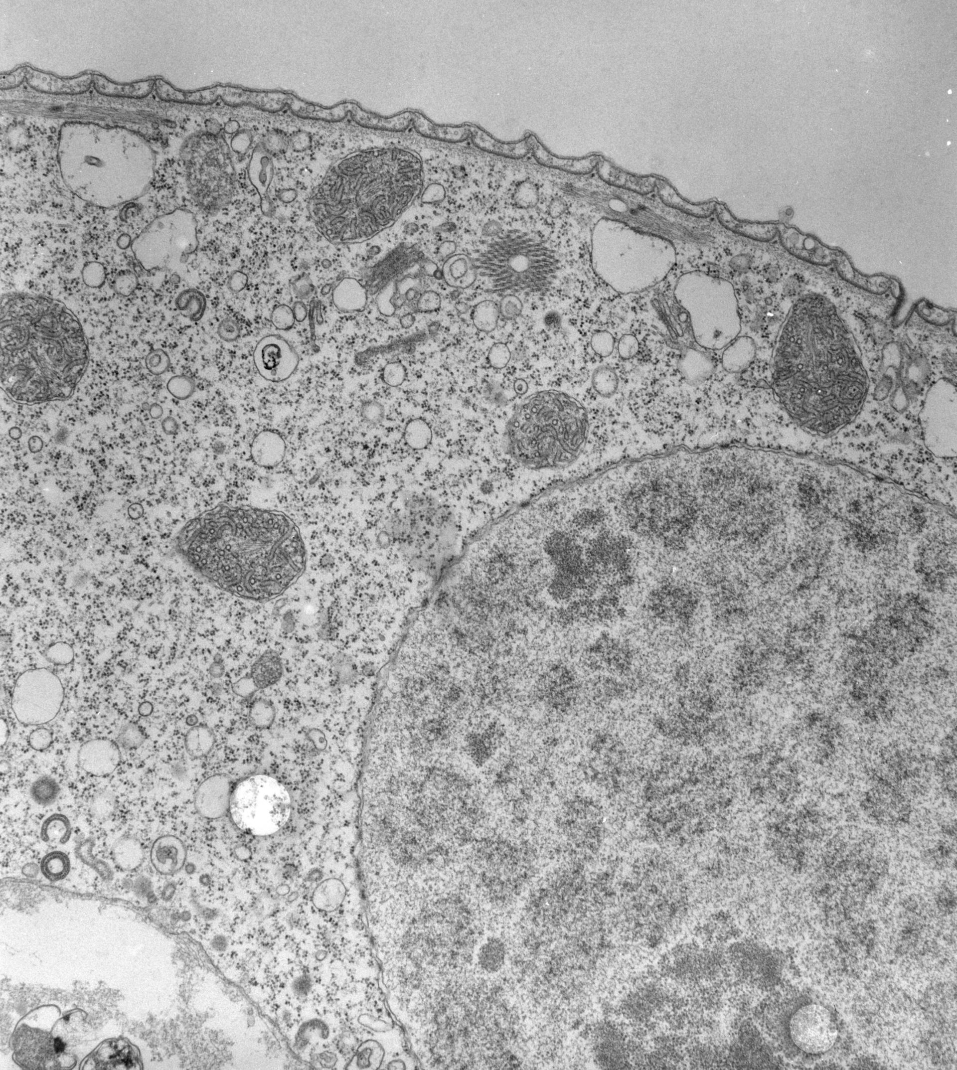
Only the macronucleus contains nucleoli which is the site of ribosomal RNA synthesis and ribosome subunit assembly. This EM also contains the distal end of the food vacuole forming cytopharynx which consists of a single membrane limited tube surrounded by microtubules that originate from the lamellae at the edge of the peristome. TEM taken on 3/29/71 by R. Allen with Hitachi HU11A operating at 75kV. Neg. 10,250X. The raw negative was scanned with an Epson Perfection V750 Pro and this high resolution image is best used for quantitative analysis. Additional information available at (http://www5.pbrc.hawaii.edu/allen/).
Biological Process: Macronucleus organization, Digestive system process
Standard glutaraldehyde fixation followed by osmium tetroxide, dehydrated in alcohol and embedded in an epoxy resin. Microtome sections prepared at approximately 75nm thickness. Additional information available at (http://www5.pbrc.hawaii.edu/allen/).
Author: Richard Allen (University of Hawaii)
Source: The Cell: An Image Library