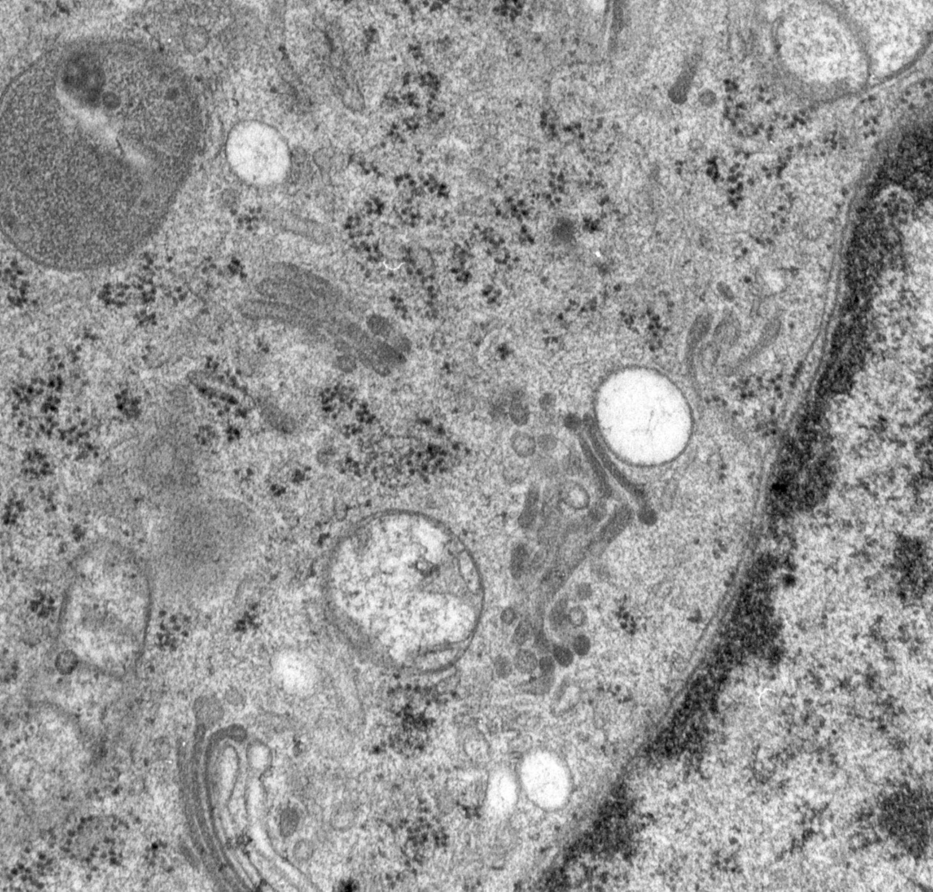
This image is one from a set of 40nm thick serial sections through part of a Golgi ribbon from a normal rat kidney cell, generated using transmission electron microscopy following incubation at 15?C to block transport out of the Golgi complex. Following temperature block, large bulging domains appear on the three trans-most cisternae. The images in this set were used in 3-dimensional reconstructions of the Golgi apparatus. For more information see: Ladinsky et al. (2002) Structure of the Golgi and distribution of reporter molecules at 20?C reveals the complexity of the exit compartments, Mol Biol Cell 13:2810-2825. The other images from this serial set are included in this image group.
Biological Process: Golgi organization, Golgi vesicle budding, Golgi vesicle transport
Cells were grown on 100-mesh gold EM grids, and maintained at 15?C for 4 hours before plunge freezing in liquid nitrogen (BalTec HPM-010), followed by freeze-substitution (1% glutaraldehyde, 0.1% tannic acid in acetone, replaced with 4% osmium tetroxide and 0.01% uranyl acetate), then embedded in Epon-Araldite and sectioned at 40nm (UltraCut-UCT, Leica). Sections were transferred to formvar-coated copper-rhodium slot grids (EMS) and stained with 2% aqueous uranyl acetate and Reynold's lead citrate. Images were acquired at a magnification of 13,000X with an FEI Tecnai TF20 transmission EM. For additional details refer to: Mol Biol Cell 13:2810-2825.
Author: Kathryn E. Howell
Source: The Cell: An Image Library