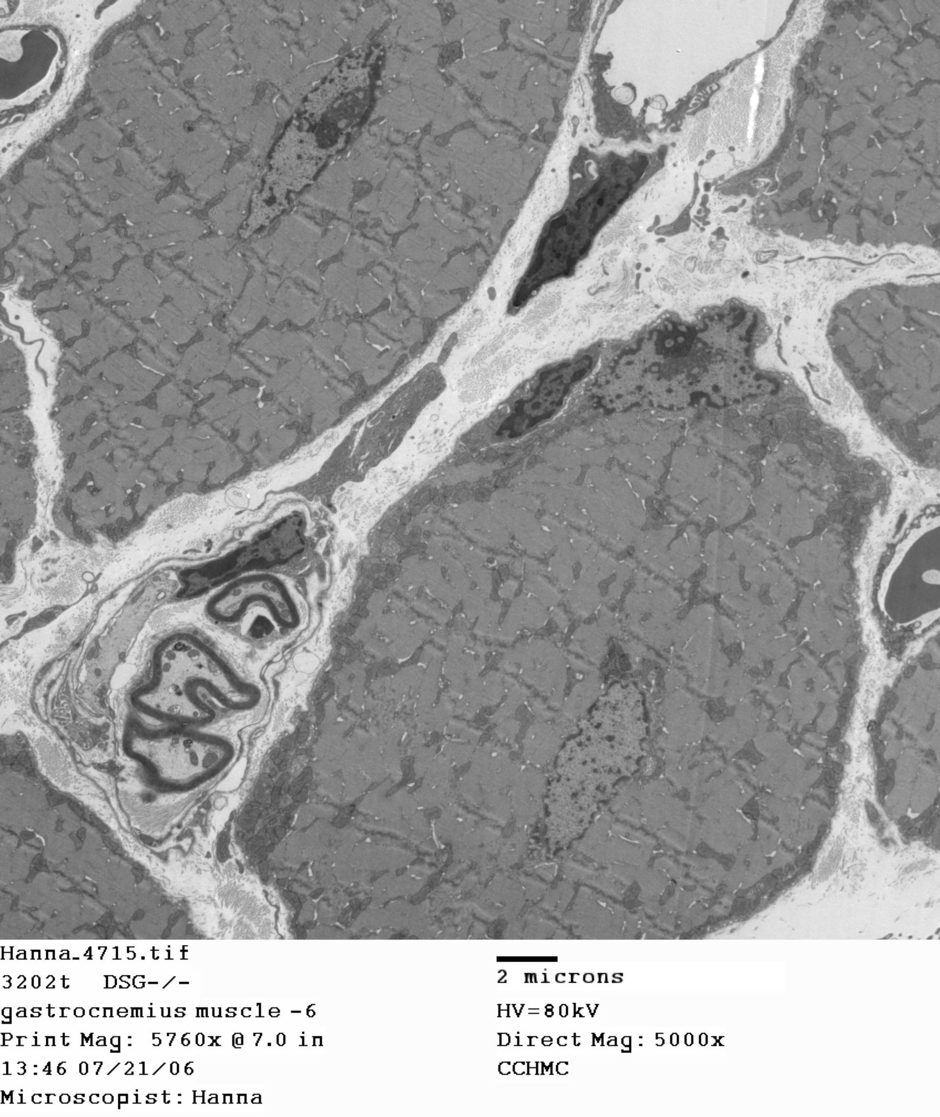
Thin section electron microscopy of the gastrocnemius (skeletal) muscle from the delta-sarcoglycan mouse. Sample was viewed with a Hitachi 7600 electron microscope (accelerating voltage 80 KV) and imaged with an AMT digital camera. This image is part of a set of images of the gastrocnemius muscle from the delta-sarcoglycan knockout mouse. A set of images of wild type mouse gastrocnemius from this same study also are included in The CELL: an image library. Reference: Nat Med. 2008 Apr;14(4):442-7. Genetic and pharmacologic inhibition of mitochondrial-dependent necrosis attenuates muscular dystrophy. Millay DP, Sargent MA, Osinska H, Baines CP, Barton ER, Vuagniaux G, Sweeney HL, Robbins J, Molkentin JD (tissue preparation described in Fewell JG, et al. A treadmill exercise regimen for identifying cardiovascular phenotypes in transgenic mice. Am J Physiol. 1997;273:H1595–H1605)
Biological Process: Plasma membrane organization
Author: Hanna Osinska
Source: The Cell: An Image Library