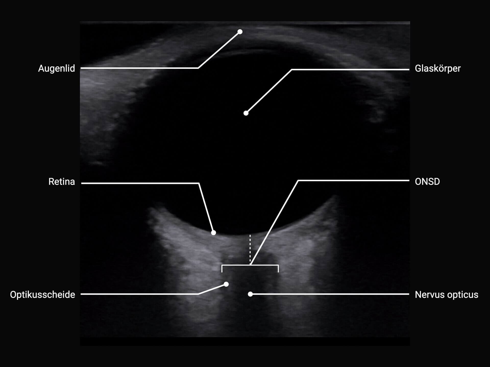
Die Optikusscheiden-Sonographie ist ein Point-of-Care-Ultraschallverfahren zur indirekten Beurteilung desHirndrucks (ICP). Sie beruht auf der Messung des Optikusscheiden-Durchmessers (optic nerve sheath diameter, ONSD), der sich bei erhöhtem ICP erweitern kann.Die gestrichelte Linie markiert den notwendigen Abstand (3 mm) vom Hinterrand des Bulbus oculi, um eine valide Messung zu gewährleisten.
Autor: Simon Schuckel, DocCheck; by BioRender.com (2025); lizenziert unter CC BY-NC-SA 4.0