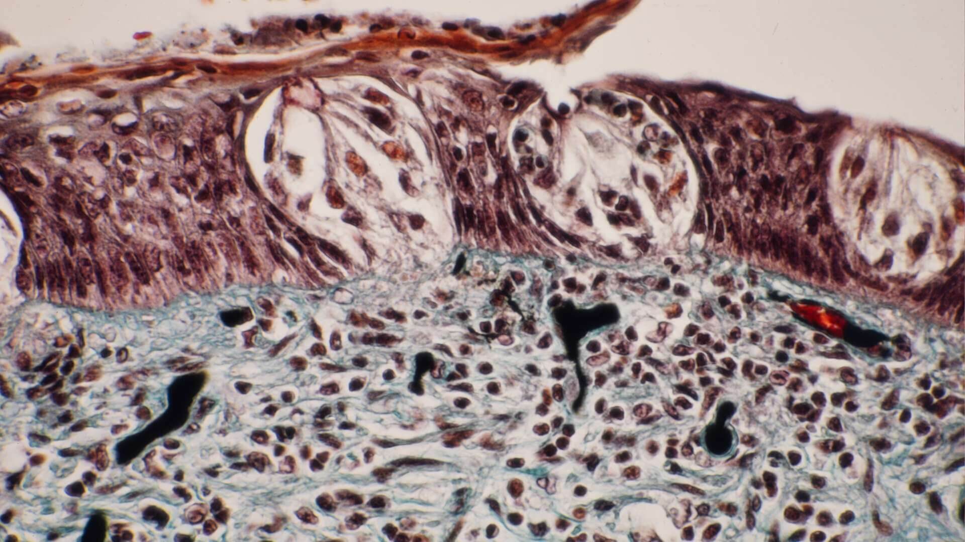
Zu sehen ist ein histologisches Bild der Zunge mit mehrschichtig unverhorntem Plattenepithel. Gut zu erkennen sind die rundlichen Geschmacksknospen mit ihren Sinneszellen. Unterhalb liegt die Lamina propria mit Bindegewebe, Nerven und Gefäßen.
Hinweis: Die Bildbeschreibung wurde von Piccer übernommen und kann Fehler enthalten.