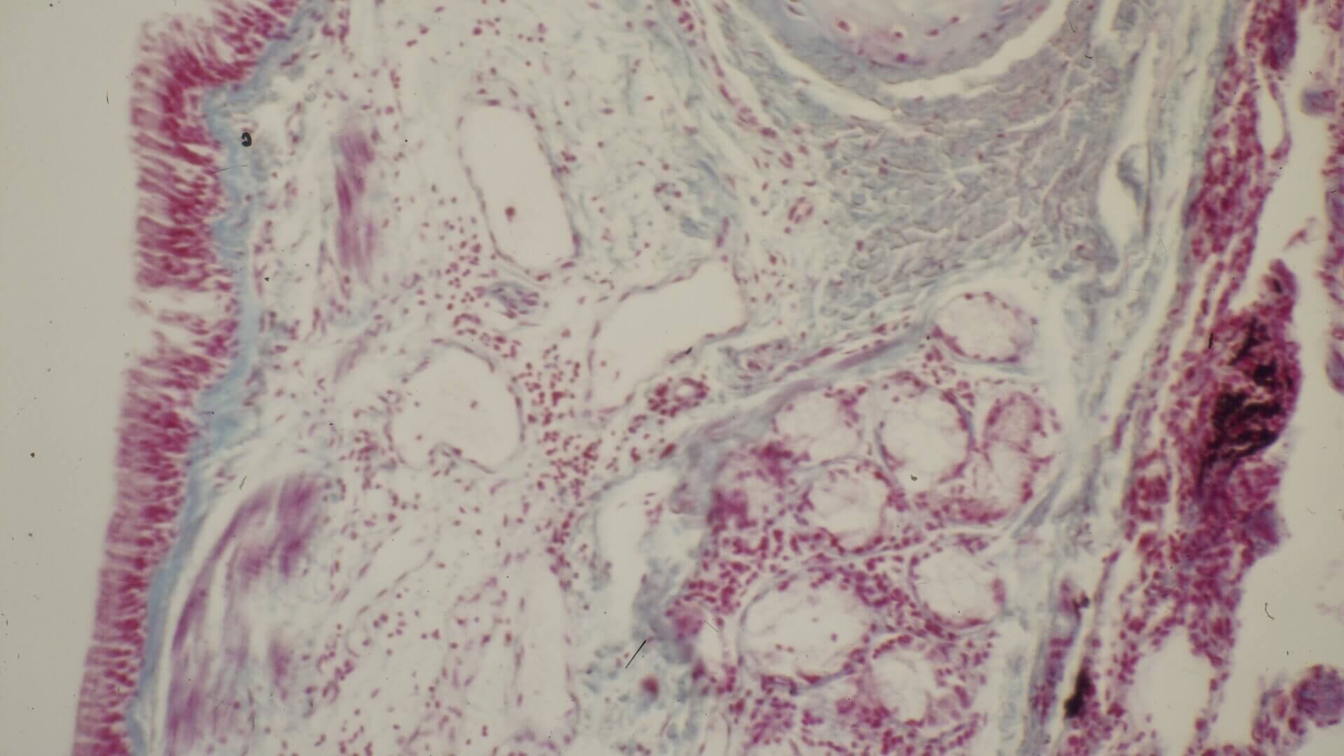
Histologisches Bild eines Bronchus. Von links nach rechts: mehrreihiges hochprismatisches respiratorisches Epithel mit Kinozilien, Lamina propria, teilweise angeschnittene Tunica muscularis, Tunica fibrocartilaginea mit Lymphgefäßen, seromukösen Drüsen (mittig-rechts) und Knorpel (mittig-oben).
Hinweis: Die Bildbeschreibung wurde von Piccer übernommen und kann Fehler enthalten.