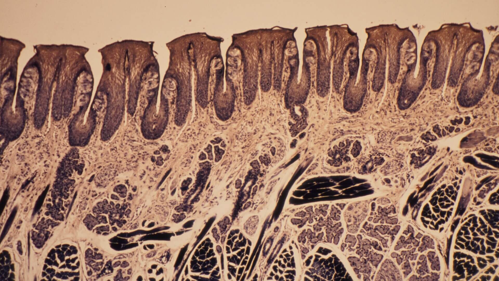
Zu sehen ist ein histologisches Bild der Zunge mit Papillae foliatae. In den Papillen sind ins Epithel eingebettet Geschmacksknospen zu finden. Unterhalb des Epithels liegt die Lamina propria und die innere Zungenmuskulatur.
Hinweis: Die Bildbeschreibung wurde von Piccer übernommen und kann Fehler enthalten.