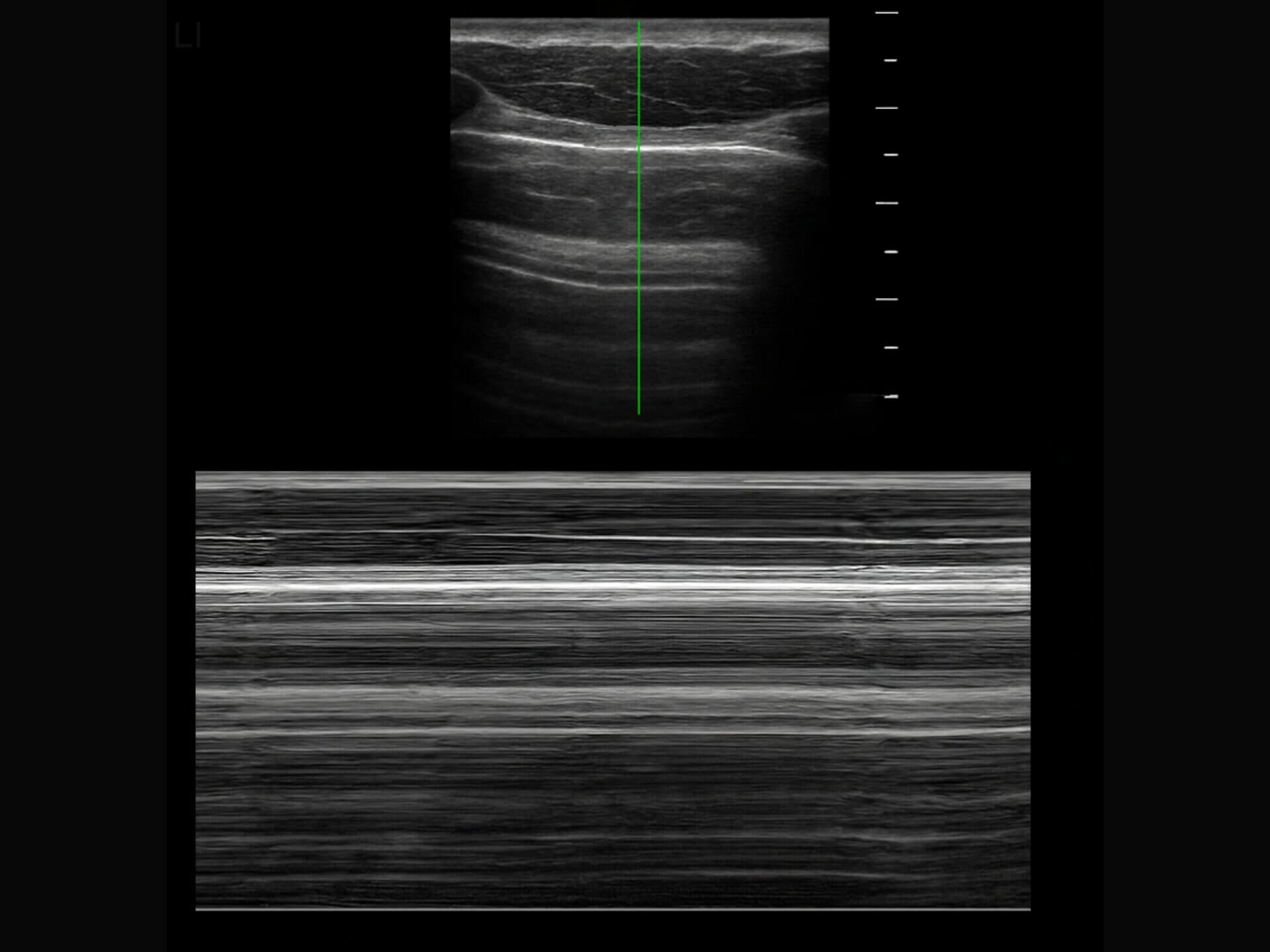
Das Barcode-Zeichen ist ein sonographisches Zeichen, das bei einem Pneumothorax im M-Mode des Lungenultraschalls sichtbar wird. Es ähnelt dem Bild eines Barcodes.
KI-generierte Darstellung, lizenziert unter CC BY-NC-SA 3.0