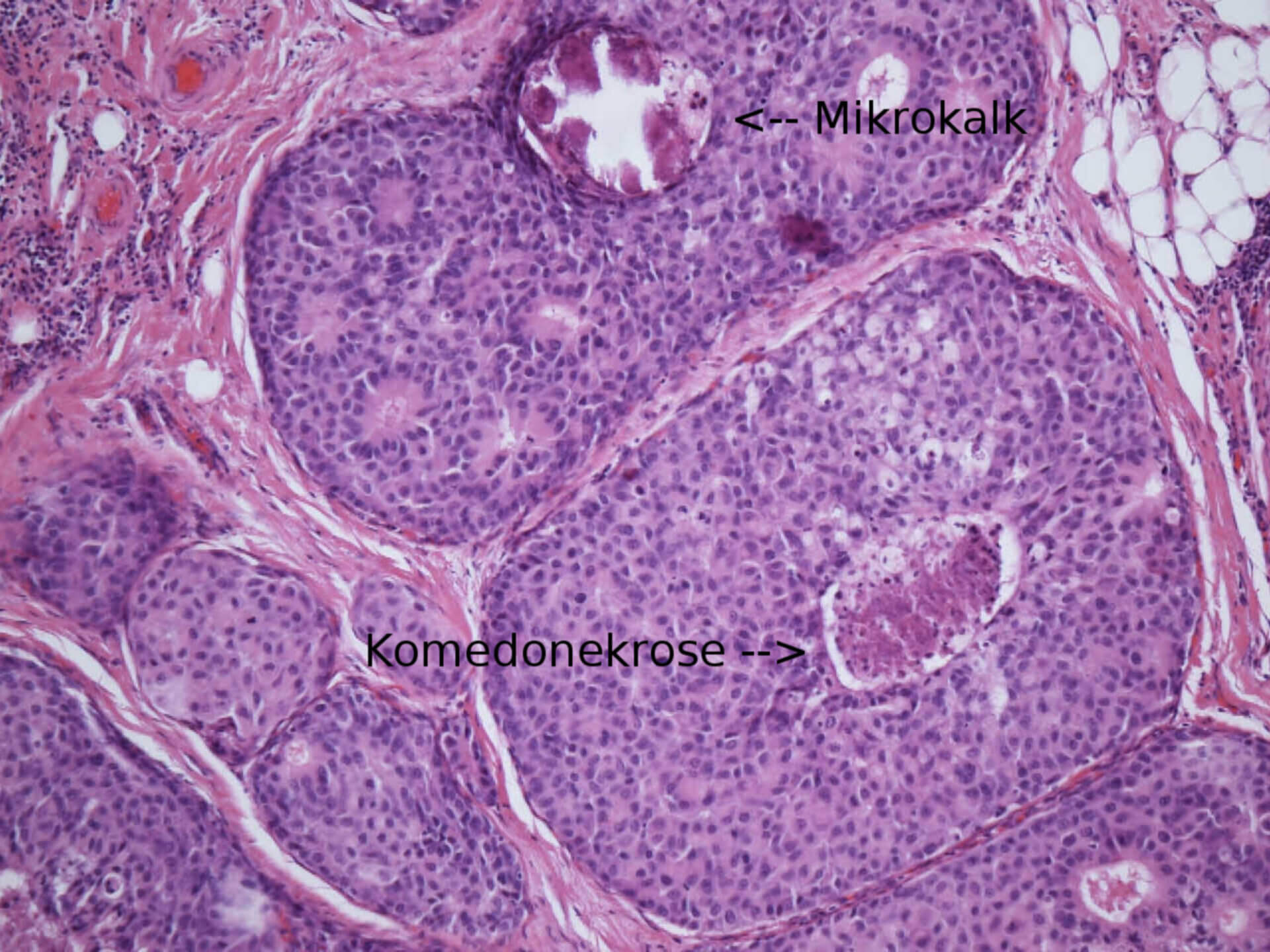
HE-Färbung eines Duktales Carcinoma in situ Grad III mit Mikrokalk und Komedonekrosen.
unbearbeitet übernommen von: Wikimedia Commons // Pavelc
Lizenziert unter: Creative Commons Namensnennung-Weitergabe unter gleichen Bedingungen Deutschland