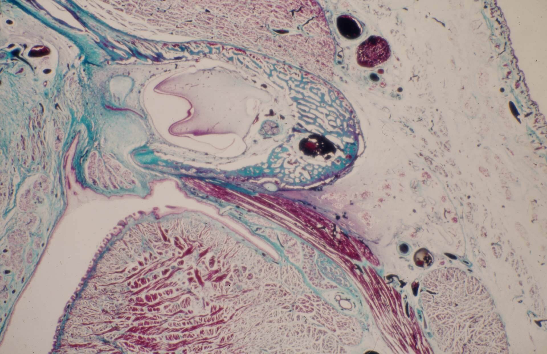
Ansicht eines Frontalschnitts der Mundhöhle im histologsichen Präparat. Neben Zunge und Gaumen erkennt man in der Mandibula einen impaktierten Zahnkeim eines Molaren.
Hinweis: Die Bildbeschreibung wurde von Piccer übernommen und kann Fehler enthalten.