Spaziergänge am Strand, Reisen durch den Urwald, Schlafen unter offenem Himmel – bis zur Heimkehr ein perfekter Urlaub. Doch dann kribbelt es plötzlich unter der Haut. Wie ein unerwünschtes Reisesouvenir aussehen kann, zeigen wir euch hier.
Pandemie? Lang ist es her. Kein Wunder, dass die Anzahl an Reisen längst wieder das Niveau vor Corona erreicht hat. Das gilt besonders für die deutschen Reiseweltmeister – und betrifft natürlich auch Reisen in tropische und subtropische Länder. Vor der Pandemie (2019) führten hierzulande etwa 3 Millionen Reisen in diese Regionen. Während der SARS-CoV-2-Pandemie brach die Zahl auf ca. 2 Millionen ein. Mittlerweile liegen wir wieder bei 3 Millionen.
Nicht immer bringt man nur die Souvenirs mit, die man unbedingt haben wollte. Manche Mitbringsel sind zwar kostenlos, können aber richtig gefährlich werden: Reiseinfektionen. Zu den häufigsten Problemen gehören Fieber und Durchfallerkrankungen, aber auch Haut- und Weichteilinfektionen rangieren ganz weit oben.
Da wäre zum Beispiel die 25-jährige Yogalehrerin, die sich kurz nach ihrer Reise nach Goa, Indien mit Panik in den Augen vorstellt. Sie berichtet über ein Gefühl von „Krabbeln unter der Haut“ am linken Fuß. Ein Parasit? Oder waren es im Ashram ein paar Räucherstäbchen und Joints zu viel? Bei genauer Betrachtung sieht man tatsächlich einen kurzen, etwas gewundenen Gang am Fußrücken. Aber wie häufig ist so etwas überhaupt?
Es gibt wenige belastbare Daten zur Häufigkeit und eine enorm hohe Dunkelziffer. Die meisten dieser mitgebrachten Erkrankungen sind nicht meldepflichtig, viele werden hausärztlich oder in der Dermatologie behandelt. Nur ein kleiner Bruchteil wird (und muss) in die Infektiologie oder Tropenmedizin geschickt werden. Sicher ist, dass – ggf. superinfizierte – Insektenstiche bei weitem am häufigsten sind, dicht gefolgt von klassischen bakteriellen Infektionen wie einem Abszess oder Erysipel. Dazu kommen aber einige sehr spezielle Erkrankungen, die man einmal gehört haben sollte. Eine gründliche Reiseanamnese zu Ort, Zeit und Exposition hilft dabei, die Spreu vom Weizen zu trennen.Häufigkeit von reisemedizinisch relevanten Haut- und Weichteilinfektionen. Credit: Jakob Schröder.
Kaum etwas sorgt am Strand so zuverlässig für Panik wie eine rote geschlängelte Linie unter der Haut, die langsam, aber sicher länger wird. Larva migrans cutanea, meist durch Hakenwurmlarven (Ancylostoma) von Hunden oder Katzen verursacht, ist das Paradebeispiel für unerwünschte Mitbringsel. Die Infektion erfolgt oft ganz banal: barfuß über tropische Strände laufen, auf denen Hunde und Katzen ihre Spuren hinterlassen haben. Die Larven dringen durch die Haut ein und wandern herum. Die Patienten zeigen meist reichlich irritiert ihre „künstlerischen“ Linien, die unter Juckreiz den Unterschenkel dekorieren – ein dermatologischer Notfall ist es selten, aber ein echter Showcase für die tropenmedizinische Sprechstunde. Therapie? Nach einigen Wochen stirbt die Larve sowieso. Und Anthelminthika wie Albendazol oder Ivermectin bringen die Linie schnell zum Stillstand – so auch im Fall unserer Yogalehrerin, die sich völlig zu Recht vorgestellt hat.
Larva Migrans am Fuß – Credit: DocCheck Flexikon
Die Vorstellung ist fast schlimmer als die Realität: Fliegenlarven, die sich in der Haut einnisten. Besonders bekannt ist die tropische Tumbufliege in Afrika oder Dermatobia hominis in Lateinamerika. Typisch sind kleine, entzündlich gerötete Knötchen, die zunächst wie banale Furunkeln aussehen. Eventuell fällt eine winzige Atemöffnung auf – und manchmal spürt der Patient sogar Bewegung. Das Entfernen der Larve kann spektakulär sein: Vaseline oder Speckstückchen auflegen, Luftabschluss erzwingen, und dann krabbelt die Larve heraus. In manchen Fällen kann auch die chirurgische Extraktion nötig sein. Für Patienten gilt: Der Ekel ist oft schlimmer als die medizinische Gefahr. Für uns Ärzte sind Myiasis-Fälle eine Gelegenheit, eine tropenmedizinische Geschichte zu erzählen, die man nicht so schnell vergisst.
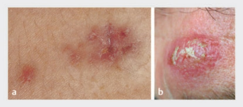
„Orientbeule“ oder „Aleppo-Beule“ – schon die historischen Namen zeigen, wie altbekannt diese Infektion ist. Leishmania-Parasiten werden durch Sandmücken (Phlebotomus) übertragen und hinterlassen chronische, ulzerierende Hautläsionen. Beliebt sind Gesicht und Extremitäten – und die Heilung kann Monate dauern, oft unter Narbenbildung. Für Reisende in Südamerika, Nordafrika oder im Nahen Osten ist das Risiko keineswegs exotisch.
In der Praxis bleibt vor allem die richtige Diagnose entscheidend: Nicht selten werden Leishmanien monatelang mit Antibiotika gegen „unklare Abszesse“ behandelt, bis jemand an die Tropenreise denkt. Zudem muss man unbedingt die gefährliche mukokutane Verlaufsform ausschließen. Während milde Verläufe spontan abheilen, sind komplizierte oder ästhetisch ungünstige Fälle therapeutisch anspruchsvoll: Man therapiert mit Thermotherapie und Antimonpräparaten. Mückenschutz vor Ort verhindert die Infektion.
Kutane Leishmaniose – Quelle: Jakob Schröder, Tropenkrankheiten in der Notaufnahme, Thieme
Scabies ist alles andere als tropenexklusiv, aber nach Auslandsaufenthalten sieht man sie immer wieder. Enge Unterkünfte, Nachtzüge oder billige Hostels sind ideale Milben-Hotspots. Klassisch ist der quälende nächtliche Juckreiz, mit Gangsystemen zwischen den Fingern und in der Leistenregion. Diagnostisch genügt oft schon das klinische Auge, therapeutisch stehen Permethrin oder in schwereren Fällen Ivermectin bereit. Das eigentliche Problem? Die Stigmatisierung – kaum eine Diagnose löst so viele Witze oder Schamgefühle aus. Für die Medizin gilt: nüchtern bleiben, gründlich aufklären, alle Kontaktpersonen behandeln. Für den Patienten gilt: Es ist keine „Schmutzkrankheit“, sondern schlicht ein ungebetener Reisegast.
Typisches Bild einer Scabies an der Hand – Quelle: Depositphotos
Das Eschar, auch „tache noire“ (frz. schwarzer Fleck) genannt, ist eine schwarze Nekrose an der Einstichstelle und das dermatologische Markenzeichen vieler Rickettsiosen. Besonders das Afrikanische Zeckenbissfieber, ausgelöst durch Rickettsia africae, trifft Reisende aus dem südlichen Afrika. Oft sind mehrere Zeckenbisse vorhanden – und entsprechend mehrere Eschars. Begleitend treten Fieber, Kopf- und Muskelschmerzen auf, gelegentlich ein Exanthem. Diagnostisch ist die Klinik fast schon pathognomonisch – Labordiagnostik und Serologie hinken hinterher. Das Problem: Man muss daran denken. Für den unvorbereiteten Tropenrückkehrer ist die Eschar manchmal das einzige sichtbare Souvenir, das die Diagnose in der Praxis rettet. Die klinischen Verläufe dieser verwirrenden Erkrankungen sind sehr variabel – von harmlos bis hochgefährlich. Die gute Nachricht: Doxycyclin hilft ebenso einfach wie effektiv.
Eschar bei Rickettsien – Quelle: Jakob Schröder, Tropenkrankheiten in der Notaufnahme, Thieme
Am Ende noch ein Klassiker: Hundebisse, Affenkrallen oder Fledermauskontakte sind in tropischen Ländern allgegenwärtig. Während bakterielle Infektionen nach Tierbiss häufig sind (Achtung bei Katzenbiss!), geistert immer auch das Gespenst der Tollwut herum. Weltweit sterben noch immer über 50.000 Menschen jährlich an dieser Infektion, die Mehrzahl in Indien. Für den ungeimpften Reisenden bedeutet jeder Biss oder Schleimhautkontakt mit Speichel eine Indikation zur sofortigen postexpositionellen Prophylaxe – mit Vakzinen und den oft schwer verfügbaren Immunglobulinen. Gerade weil die Tollwut fast ausnahmslos tödlich verläuft, aber zuverlässig vermeidbar ist, bleibt die Prävention zentral: Die vollständige Impfung vor der Reise ist die beste Lebensversicherung.
Nicht jeder Juckreiz, jede Pustel oder jedes Ekzem nach einer Tropenreise ist harmlos – und nicht jedes Souvenir bleibt freundlich. Von wandernden Larven über krabbelnde Fliegenmaden bis hin zu tödlichen Viren reicht die Bandbreite der tropischen Haut- und Weichteilinfektionen. Daher:
Was zu beachten ist:
Schlussendlich bleibt nur zu sagen: Das beste Mitbringsel ist die Erinnerung – nicht ein ungebetener Parasit unter der Haut.
Bildquelle: Natalia Blauth, Unsplash