Seit vier Wochen leidet der Patient an Husten mit schwarzem, zähem Auswurf. Weil keine Besserung eintritt und Fieber und Nachtschweiß hinzukommen, wird er stationär aufgenommen. Doch die Ärzte tappen lange im Dunkeln – was hat der Patient bloß?
Ein 52-jähriger Patient wird mit Fieber, Nachtschweiß und Husten mit schwarzem, zähem Auswurf in einer chinesischen Klinik stationär aufgenommen. Die Symptome hatten bereits vier Wochen zuvor begonnen. Er hatte zunächst eine symptomatische Therapie mit Ibuprofen begonnen, die kurzfristig zu einer Linderung führte. Bei Beschwerdepersistenz wurde zwei Wochen später eine Thorax-CT durchgeführt, die multiple Läsionen in beiden Lungen zeigte. Es erfolgten ambulante Sputumkulturen, in denen keine pathogenen Bakterien nachgewiesen wurden. Eine antiinfektive Therapie mit Levofloxacin führte zu keiner Besserung.
Bei der stationären Aufnahme zeigen sich in der klinischen Untersuchung abgesehen von hypertensiven Blutdruckwerten keine Auffälligkeiten. Der Patient hat keine bekannten Vorerkrankungen. Er arbeitet seit drei Monaten im Kohlebergbau. Laborchemisch zeigt sich lediglich eine leichte Neutrophilie (72,7 %) bei normalen Leukozytenwerten (7,73 × 10^9/l). In der erneuten Sputumuntersuchung werden mikroskopisch keine säurefesten Stäbchen und keine Pilzsporen oder Hyphen nachgewiesen. Die Ärzte sehen zwar gramnegative Stäbchen und grampositive Kettenkokken, jedoch sind die Sputumkulturen negativ.
Zur weiteren Abklärung der pulmonalen Veränderungen werden 1,3-β-D-Glucan und Galactomannan-Antigen aus dem Serum auf eine mögliche Pilzinfektion getestet, ebenso wie das Kapselpolysaccharid-Antigen von Kryptokokken und ein Interferon-Gamma-Test auf Tuberkulose; alle Ergebnisse sind negativ. Eine Antineutrophilenzytoplasmaantikörper-Untersuchung (ANCA) zeigt, dass sowohl zytoplasmatische ANCA, perinukleäre ANCA, Protease 3 und antiglomeruläre Basalmembranantikörper negativ sind, während Myeloperoxidase positiv ist.
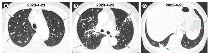
Computertomographieaufnahmen des Brustkorbs des Patienten bei der Erstuntersuchung. (A-C) CT-Bilder von verschiedenen Querschnitten. Credit: Y. Jiang et al
Die Computertomographie der Lunge bei der Aufnahme zeigt multiple noduläre Veränderungen in beiden Lungenflügeln. Auffällig sind zudem multiple vergrößerte Lymphknoten supraklavikulär links. Die Ärzte führen transthorakale Biopsien der nodulären Veränderungen in der Lunge durch. Die histopathologische Untersuchung zeigt normales Lungenparenchym mit Kohleablagerungen. Auch die supraklavikulären Lymphknoten werden biopsiert, wobei nur normale Lymphozyten in der Zytologie nachgewiesen werden.
Zur weiteren Abklärung der pulmonalen Veränderungen wird eine Bronchoskopie mit bronchoalveolärer Lavage durchgeführt. Da bisher durchgeführte mikrobiologische Methoden keine Ergebnisse erbracht haben, wird ein metagenomisches Next-Generation-Sequencing (mNGS) durchgeführt. Hierbei kann schließlich die Ursache ausfindig gemacht werden: Emergomyces orientalis.
E. orientalis ist ein dimorpher Pilz; in der Umwelt kommt er im Myzelstadium vor, er wandelt sich jedoch in eine Hefeform um, sobald er ein Säugetier infiziert. Mittlerweile sind fünf Spezies innerhalb der Emergomyces beschrieben und sie wurden bisher in Afrika, Indien, Ostasien, Nordamerika und Europa nachgewiesen.
Die Erkrankung, bekannt als Emergomykose, betrifft vor allem immunsupprimierte Personen und kann – je nach Spezies und Immunstatus des Wirts – unterschiedlich verlaufen. Bei der pulmonalen Emergomykose zeigen sich in der thorakalen Computertomographie diffuse retikulonoduläre Veränderungen, Konsolidierungen, Ergüsse und/oder Lymphadenopathie. Diese Form der Emergomykose ist eine Differentialdiagnose zur Tuberkulose. Die Infektion kann jedoch auch die Haut betreffen, wobei sie sich in Form von Papeln, Plaques, Noduli oder Ulzerationen manifestieren kann. Andere betroffene Organe wie der Gastrointestinaltrakt, die Leber, Lymphknoten oder das Knochenmark sind ebenfalls beschrieben worden.
Aktuelle Therapieempfehlungen bei Emergomykose stützen sich auf Beobachtungsstudien und Expertenmeinungen. Im vorliegenden Fall wurde zunächst eine antimykotische Therapie mit Amphotericin B eingeleitet, die zu einer Verbesserung der klinischen Symptomatik führte, und die pulmonalen Veränderungen waren regredient. Nach etwa 23 Tagen stationärer Therapie wird der Patient auf eine orale Behandlung mit Itraconazol umgestellt. Unter dieser Therapie kommt es jedoch nach vier Wochen zu einem erneuten Progress der pulmonalen Noduli, sodass die Behandlung wieder auf Amphotericin B umgestellt wird.
Erschwerend tritt bei diesem Patienten eine IgA-Nephropathie auf, wodurch die Therapie vorübergehend pausiert werden muss, jedoch im weiteren Verlauf in reduzierter Dosierung fortgesetzt werden kann. Die pulmonalen Veränderungen sind erneut rückläufig, jedoch nicht vollständig verschwunden. Daher erfolgt bei der Entlassung eine erneute Umstellung auf orale Therapie mit Voriconazol. Zum Zeitpunkt der Veröffentlichung des Falls ist der Patient weiterhin in Therapie.
Fälle von Emergomykose wurden hauptsächlich bei Patienten mit bekannter Immunsuppression beschrieben. Im vorliegenden Fall jedoch hatte der Patient keine bekannte Immunsuppression. Die Erreger der Gattung Emergomyces werden als „emerging pathogens“, also als „aufkommende Erreger“, beschrieben. Es wird angenommen, dass mangelnde diagnostische Möglichkeiten in endemischen Regionen zu einer erheblichen Unterdiagnostizierung auch bei Immunkompetenten führen.
Quellen:
Jiang et al. Diagnosis and treatment of a patient with pulmonary infection caused by Emergomyces Orientalis: a case report. Future Microbiology, 2024. doi: 10.1080/17460913.2024.2366653
Schwartz et al. Emergomyces: The global rise of new dimorphic fungal pathogens. PLoS Pathog, 2019. doi: 10.1371/journal.ppat.1007977.
Bildquelle: erstellt mit DALL.E