Eine 24-jährige Frau fühlt sich seit 3 Monaten müde und schwach. Im Krankenhaus finden die Ärzte mittels Labortests schnell einen Namen für die Symptomatik. Doch die Ursache bleibt zunächst unklar.
Eine 24-jährige Frau stellt sich mit allgemeiner Müdigkeit und Schwäche im Krankenhaus vor. Seit etwa 3 Monaten leidet sie daran. Zudem wurden bei ihr erst kürzlich Bluthochdruck und eine Hypothyreose diagnostiziert. Ihr Bauchumfang ist vergrößert, sie hat Akne und gibt an, gelegentlich Schwierigkeiten beim Aufstehen von einem Stuhl bzw. beim Gehen zu haben.
In der körperlichen Untersuchung stellen die Ärzt:innen zudem beidseits eine proximale Muskelschwäche der unteren Extremitäten fest. Sie nehmen Blut ab und bekommen prompt den ersten Hinweis auf die Ursache der Symptome: Die Tests ergeben um 8 Uhr morgens einen erhöhten Cortisolspiegel, der mit einem erhöhten ACTH-Wert einhergeht - ein Cushing-Syndrom). Doch wo liegt die Ursache?
Die Ärzt:innen ordnen eine MRT der Hypophyse an, welche ein Hypophysenmikroadenom offenbart. Ein anschließend durchgeführter hochdosierter Dexamethason-Suppressionstest zeigte hohe Cortisolwerte, womit klar ist: Die Ursache ist nicht zentral, sondern höchstwahrscheinlich ektop.
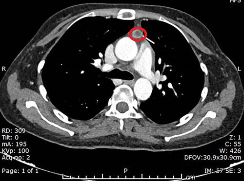
Die Spurensuche geht weiter mittels CT-Scans von Brust, Bauch und Becken - erfolgreich, denn es zeigt sich ein kleiner neuroendokriner Tumor des Thymus, der mit einer bilateralen Nebennierenhypertrophie einhergeht.
Die 24-jährige Patientin unterzieht sich daraufhin einer Exzision der mediastinalen Masse. In der anschließenden pathologischen Untersuchung des resezierten Gewebes zeigt sich ein gut umschriebener Tumor, der sich scharf vom umgebenden atrophischen Thymusgewebe abgrenzt.
Die Zellen haben runde bis ovale Zellkerne mit einem „Salz-Pfeffer-Muster“ des Chromatins und eosinophiles Zytoplasma. Die Immunhistochemie ist positiv für CKAE1/AE3, Synaptophysin und ACTH. Der Proliferationsindex Ki-67 liegt bei 1 %. Insgesamt entsprechen diese Merkmale einem typischen Karzinoid-Tumor, der auf den Thymus beschränkt ist.
Nach der Operation sinkt der ACTH-Wert der Patientin auf 6,1 pg/m und ihr Cortisol auf 399 nmol/L.
Die Symptome und auch der Blutdruck der Patientin bessern sich deutlich, sodass die Antihypertensiva ohne postoperative Komplikationen abgesetzt werden können.
Text- und Bildquelle: Matarneh et al. / Clinical Case Reports