Eine neue Unterform des Mammakarzinoms zeigt eine verbesserte Überlebenswahrscheinlichkeit für Betroffene. Zudem könnte sie neue Behandlungsmöglichkeiten eröffnen. Was HER2 damit zu tun hat, seht ihr hier.
Brustkrebs ist die Krebsart, die bei Frauen in den westlichen Industrienationen am häufigsten vorkommt – oft mit tödlicher Folge: An Brustkrebs sterben mehr Frauen als an irgendeiner anderen Krebserkrankung. „Bei Brustkrebs handelt es sich nicht um eine einheitliche Erkrankung, sondern um eine Kombination verschiedener Subtypen“, sagt Pathologe Prof. Carsten Denkert von der Philipps-Universität Marburg, einer der federführenden Autoren der aktuellen Studie. „Diese Subtypen sind von zentraler Bedeutung für die Entwicklung personalisierter Therapiestrategien.“
Bei einem Teil der Patientinnen liegt das Rezeptormolekül HER2 im Tumorgewebe stark vervielfältigt vor: HER2 ist ein wichtiges Krebsgen bei Brustkrebs. „Behandlungsansätze mit speziellen Antikörpern gegen HER2 haben neue therapeutische Optionen eröffnet“, ergänzt die Medizinprofessorin Dr. Sibylle Loibl von der Goethe-Universität Frankfurt, eine weitere Hauptautorin.
Bislang galt eine zielgerichtete Therapie nur dann als erfolgversprechend, wenn der Tumor eine sehr stark erhöhte Konzentration von HER2 aufweist.
Das Forschungsteam um Denkert und Loibl untersuchte Brustkrebsgewebe von 2.310 Patientinnen, die eine Kombinationschemotherapie erhalten hatten.
„48 Prozent dieser Gewebeproben zeigen eine schwach-positive Konzentration von HER2“, berichtet Denkert. „Wie wir herausfanden, lässt sich Tumorgewebe mit schwacher Positivität für das HER2-Protein als eigener Brustkrebs-Subtyp charakterisieren, der sich von Tumoren unterscheidet, die gar kein HER2-Protein aufweisen.“
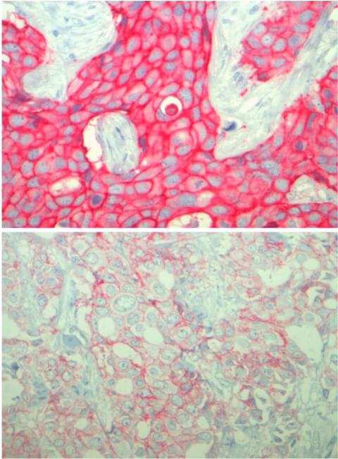
Der Tumor oben weist eine erhöhte Menge des HER2-Proteins auf, wohingegen der Tumor unten eine geringe Menge aufweist. Credit: Carsten Denkert Das wirkt sich insbesondere auf das Überleben der Betroffenen aus: „Wenn im Tumor das HER2-Protein in geringer Konzentration vorliegt, ist die Überlebenswahrscheinlichkeit der Betroffenen größer, als wenn das Gewebe gar kein HER2 enthält“, legt Loibl dar.
Zugleich zeigen die Daten, dass Krebsformen mit wenig HER2 schlechter auf eine Chemotherapie ansprechen als Subtypen ohne HER2-Protein. „Offenbar ist Brustkrebs komplexer, als bislang angenommen wurde“, schlussfolgert Denkert. „Dies eröffnet neue Möglichkeiten für künftige, personalisierte Behandlungsansätze. In der Zukunft könnten neue Therapien, die sich speziell gegen niedrig-HER2-positive Tumoren richten, das Überleben in dieser Subgruppe noch weiter verbessern.“
Dieser Artikel basiert auf einer Pressemitteilung der Phillips-Universität Marburg. Die Orginalpublikation findet ihr im Text und hier hinterlegt.
Bildquelle: National Cancer Institute, unsplash