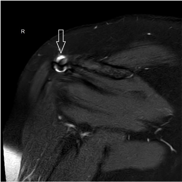
Wer hat noch nicht, wer weiß noch was? Stimmen Sie ab und erklicken Sie dem Röntgen Museum eine ordentliche Spendensumme. Welche der Aussagen trifft zu? http://pictures.doccheck.com/de/photo/43645-pdspaircor6
Hier geht's zum Quizfall: http://docc.hk/schulter